バルプラストやウェルデンツについてのお問い合わせが、全国から多数あります。
歯医者はコンビニより多い・・・って時代なので、きっとお住まいの地域にも歯科医院はあるのでしょうに、わざわざ遠方からお越しいただき、本当に感謝です。
ありがとうございます!!
~薄くて柔らかい入れ歯:バルプラスト~
「遠すぎて行けないけど、情報だけ欲しい」
「近所の歯医者さんじゃ、インプラントのことしか言わないので別の選択肢のことも教えてほしい」
というお問い合わせも多くありますので、そういう方のために定期的に症例を発信していきたいと思っています。
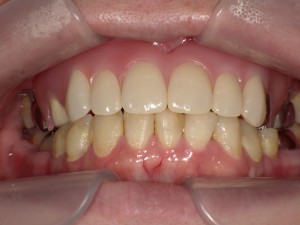
まずは、40代女性。
前歯6本にバルプラストをいれた症例です。
まずは、装着前のお写真。
こちらが装着後です。
他人には、「入れ歯」と気づかれることはまずないと思います。
インプラントも考慮されていたようですが、
「高齢になってメインテナンスに通えなくなった時が心配」
「他に持病もあるし、お医者さんからもなるべく外科的なことは避けた方がいいと言われた」
とのことで、バルプラストを選ばれました。
次は、80代男性。
なるべく違和感が少なくなるようにしてほしい、とのリクエストでした。
一塊で作った方が費用はお安くすむのですが、
費用はかかっても、毎日使う物だからなるべく快適に過ごしたい、とのことで
3つに分けて作成。
上にはバルプラスト、下にはウェルデンツを入れています。
なんでも、美味しく食べられるようになったし、違和感もない、と、とても喜んでいただけました。
こちらも40代女性。
ブリッジも可能な方ですが、「なるべく歯は削りたくない」とのことで、
ウェルデンツを選ばれました。
まずが、装着前。
こちらが、装着後です。
装着後すぐはよかったのですが、1カ月ほどたって「ゆるくなってきた感じがする」とのことで、作り直しさせていただきました。
ご足労をおかけして申し訳なかったです・・・。
その後は、違和感も全くなく、「入れていることを忘れそう」とご愛用いただいています。
2年間は、無料の保証期間を設けていますので、紛失以外の不具合は、無料で再製作させていただいております。
反対側にも同じくウェルデンツを作られることとなりました。











