ウェストデンタルクリニックは、12月29日2012年の仕事納めでした。
おかげ様で今年も無事1年を終えることができました。
ありがとうございました!!
~ウェストデンタルクリニックスタッフ一同と日頃お世話になっている方々とでの忘年会の写真です~
今年初めてウェストデンタルクリニックにご来院下さった方
数ある歯科医院の中から、ウェストデンタルクリニックを選んでいただき、
皆さんと出合うことができて、とっても嬉しいです。
ありがとうございました。
今後とも、末永いお付き合いをさせていただけるよう、スタッフ一同精進します!!
どうぞよろしくお願いいたします。
~左:今年初診でいらっしゃって、今じゃウェストデンタルクリニックのスタッフ一同のアイドルになったTさんからいただいたクリスマスカード。めっちゃカワイイ!
真ん中:やはり今年初診でいらっしゃったIさんからはいつもおススメの漫画を貸していただいています。古谷兎丸、初めて読んだけどかなり面白い!
右:今年も外国人の患者様も多かったです。皆さん、母国にご帰国なさる度に珍しいお土産を買って来て下さって、嬉しかったです~
開業当時から、既になが~いお付き合いをさせていただいている皆様
今年もありがとうございました!
感謝しています。
でも、今年も、長いお付き合いの患者様の何人かの方から
「故郷に帰ることになりました」
「海外へ赴任することになりました」
とお別れのご挨拶もいただきました。
寂しくなるなあ・・・。
また、東京にいらっしゃることがあったら、お顔を見せて下さいね。
2013年は、1月7日からの診療となります。
年末年始の休診期間、ご迷惑おかけしてすみません。
また来年もよろしくお願いいたします。
~古くからの患者様Nさんがプレゼントして下さったお正月飾り:お母様の手作りだそうです。スゴイ!綺麗!~
2013年最初のキャンペーンは「ウェルデンツ」の予定です。
NHKのテレビ放映や、新聞記事をご覧になった方からお問い合わせが多いので、この機会にウェルデンツの良さを
もっと皆様に知っていただけるよう、特別価格でご提供しようと思っています。
ウェルデンツって?っていう方もいらっしゃいますよね。
薄くて、軽くて丈夫な新素材!
インプラントもイヤだし、歯を削ってブリッジにするのもイヤと言う方
今までの入れ歯に満足していない方
にぴったりの入れ歯です。
1例をお見せすると・・・
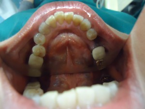
40代女性:左下の奥から3番目の歯を抜いた後、何もいれずにそのまんまになっています。
上から見るとこんな感じになっています。
本来なら、両隣の歯を削ってブリッジにするか、インプラントにするか、あるいは1本だけの入れ歯を入れるか・・ということになります。
でも、入れ歯はなんとなく抵抗があるし、インプラントもイヤ、隣の歯は健康な歯とセラミックの歯なので削ってブリッジにするのもイヤ・・・。
・・・というわけで、ウェルデンツにしました。
両隣の歯は一切削らないので、麻酔さえ不要。
型をとるだけなので、痛みもありません。
入れるとこんな感じです。
普通の入れ歯には床と呼ばれるピンクの部分があって、そこが歯茎にあたって痛かったりするのですが、
ウェルデンツには床がないので違和感が少ないです。
入れ歯の調整に何度も通院する必要も少なくなります。
横から見るとこんな感じになります。入れ歯と気づかれることはまずありません。
ガムでも肉でもお煎餅でも何でも食べられます。
ウェルデンツ、興味のある方、来春お待ちしています!!
(詳細はコチラ )
それでは、皆さま、どうぞよいお年を!!













